
Presentación de Caso: Un hombre de 33 años fue trasladado al Servicio de Urgencias con hipotensión y taquicardia tras una lesión por aplastamiento en abdomen y pelvis.
Después de la reanimación inicial con líquidos y hemoderivados, la tomografía computarizada (TC) mostró múltiples lesiones que incluían laceraciones esplénicas, de colon y renales izquierdas. Se diagnosticó lesión renal grado IV con desvascularizaciones segmentarias y extravasación urinaria.

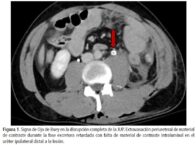
La extravasación de orina recubriendo la pared ureteral, con falta de material de contraste intraluminal creó una apariencia de ojo de buey en la fase tardía de la tomografía computarizada (fig.1).
Esto sugirió la ruptura completa de la juntura ureteropiélica ( JUP), que se confirmó en la ureteropielografía retrograda (fig. 2A) y enrollamiento del stent ureteral fuera de la pelvis renal.

El paciente fue sometido a laparotomía para el manejo de lesiones concomitantes y se tomó la decisión de una reparación quirúrgica temprana de la ruptura de la JUP mediante una técnica de anastomosis en paracaídas termino terminal con colocación de stent ureteral. La pielografía retrógrada de seguimiento y la exploración de función renal a los 8 meses mostraron la JUP bien cicatrizada (fig. 2B) y función renal diferencial del 35% para el riñón lesionado. El nivel de creatinina a los 3 años después de la lesión fue de 1,1 mg /dl.

La lesión ureteral y la ruptura de la JUP son patrones de lesión poco frecuentes después de un traumatismo abdominal cerrado. Se requiere una tomografía computarizada en fase excretora tardía con adecuada excreción de contraste en el sistema colector para un diagnóstico preciso de las lesiones del sistema colector.
La falta de material de contraste en la luz ureteral con extravasación del contraste alrededor del uréter en el lado lesionado crea el signo del ojo de buey en la tomografía computarizada. Este hallazgo radiológico es muy sugestivo de una rotura completa de la JUP y justifica una evaluación adicional con imágenes retrógradas para un diagnóstico temprano.
Las rupturas de la JUP completas a menudo se pasan por alto durante la evaluación inicial debido a la presencia de múltiples lesiones concomitantes y también a la falta de hematuria en aproximadamente un tercio de los casos. El diagnóstico tardío se asocia con mayores tasas de complicación y nefrectomía.
Aunque la mayoría de casos de extravasación de orina y lesiones ureterales parciales se pueden tratar de forma conservadora o mediante el uso de un stent ureteral, la apariencia del ojo de buey es más sugerente de rotura completa y la posible necesidad de intervenciones abiertas.
Las guías de manejo del trauma urológico de la AUA son vagas en cuanto al manejo de las lesiones de la JUP, pero recomiendan la reparación temprana de la lesión ureteral para pacientes estables y la colocación de un tubo de nefrostomía con reparación diferida en pacientes inestables.
Sin embargo, la formación de tejido fibrótico a partir de la pérdida de orina puede hacer que el acceso al hilio renal y al uréter seccionado desafiante en la reparación diferida. Los diagnósticos diferenciales incluyen lesiones parciales ureterales o de pelvis renal y coágulos de sangre en el sistema colector. Los defectos de llenado de los coágulos sanguíneos intraluminales que pueden imitar la apariencia de un ojo de buey (fig.3), pero el contraste intraluminal generalmente se puede ver distal al defecto de llenado y se puede diferenciar de la ruptura de la JUP mediante una ureteropielografía retrógrada.

La extravasación urinaria periureteral con falta de contraste intraluminal en el uréter ipsilateral distal puede verse como el signo del ojo de buey en la fase excretora de una tomografía computarizada. Este hallazgo puede ayudar en la identificación temprana de la disrupción completa de la JUP y debería generar la obtención de imágenes de ureteropielografía retrógrada para una evaluación adicional y una posible intervención temprana.
Contenido Protegido con Derechos de Uso de su contenido
Sobre el autor