
La nefrectomía radical con trombectomía tumoral de vena cava inferior (VCI) requiere una amplia planificación quirúrgica para maximizar las probabilidades de éxito.
La validación aleatoria reciente de la superioridad diagnóstica de la resonancia magnética multiparamétrica (mpMRI) prebiopsia y, posteriormente, la biopsia de próstata dirigida con mpMRI en comparación con la biopsia de próstata sistemática guiada solo por ecografía transrectal (TRUS), ha revolucionado la vía de diagnóstico del cáncer de próstata preexistente.
El examen del antígeno prostático específico (PSA) ha caído en desuso entre muchos médicos durante la última década. Leer más
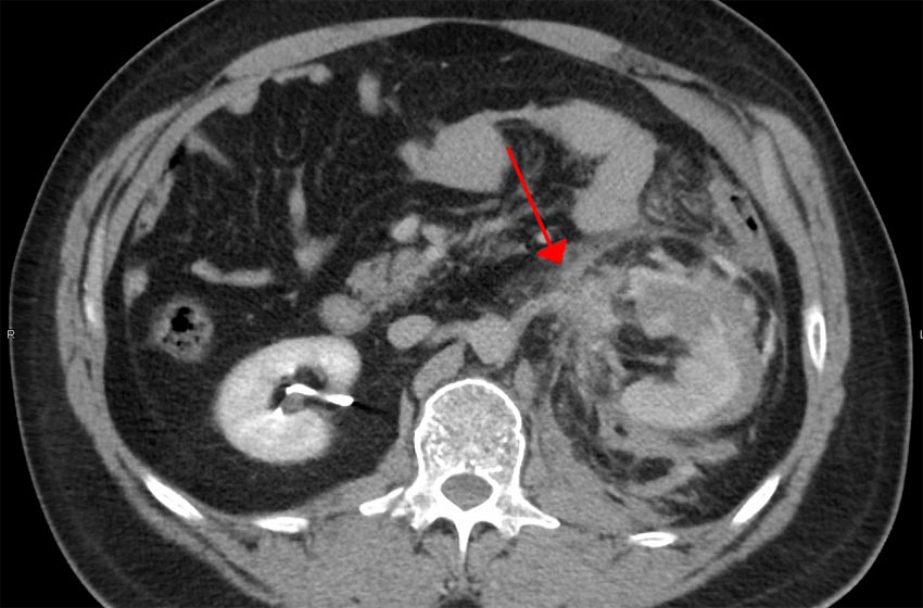
Presentación de Caso: Un hombre de 33 años fue trasladado al Servicio de Urgencias con hipotensión y taquicardia tras una lesión por aplastamiento en abdomen y pelvis.
La deficiencia de testosterona (TD) se diagnostica con testosterona circulante baja (T) en combinación con síntomas como baja libido, disfunción eréctil y baja energía.
La viabilidad del tejido se basa en una perfusión adecuada; y una perfusión limitada puede conducir a lesiones en el tejido, incluyendo la muerte celular, atrofia del tejido o reemplazo por células menos metabólicamente activas, como fibrocitos que dan lugar a la formación de cicatrices.
Contenido Protegido con Derechos de Uso de su contenido